Ct Scan Gallstones. The study shows that the presently used ct scan of the gallbladder is not sensitive enough to select gallstone patients for medical dissolution treatment. While it is known that early generation ct scanners often detect gallstones, the detection rate of newer equipment is not widely known.
Gallstone Pancreatitis from radiologypics.com
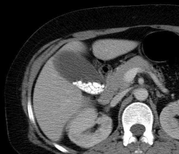
The presence of gallstones was subsequently confirmed on ultrasound examination (fig. Pneumobilia, small bowel obstruction, and an ectopic gallstone. A thin, flexible tube (endoscope) with a camera on the end is passed down your throat and into your small intestine.
Pneumobilia, Small Bowel Obstruction, And An Ectopic Gallstone.
Most all gallstones are invisible on ct scan. Especially if they are trapped near or around your billary ducts. Ct scans are often done in an emergency to diagnose severe abdominal pain.
Gallbladder Masses That Should Not Be Confused With Gallstones At Us.
There were no false positive results. A thin, flexible tube (endoscope) with a camera on the end is passed down your throat and into your small intestine. The ct scan is probably the most useful test when doing a workup for suspected gallbladder cancer.
See The Safety Page For More Information About Ct.
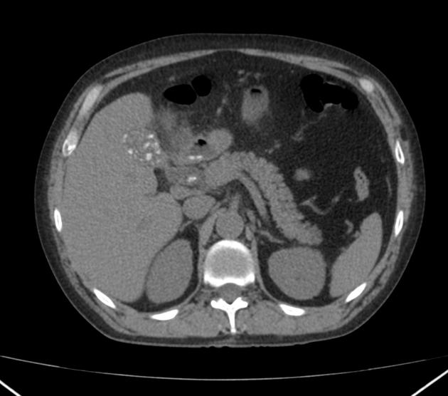
Ct scans can show gallstones, or complications such as infection and blockage of the gallbladder or bile ducts. In addition to detecting gallstones, ct scans can also detect magnetic resonance imaging (mri). A ct scan may be carried out to look for any complications of gallstones, such as acute pancreatitis.
Mris Can Show Gallstones In.
I had 0% movement in my hida scan. For information about ultrasound procedures performed on children, visit the pediatric abdominal ultrasound page. Gallstones and gallbladder sludge may also be identified with a ct scan.
The Dye Enters The Ducts Through A Small Hollow Tube (Catheter) Passed Through The Endoscope.
Ct scans are often carried out in an emergency to diagnose severe abdominal pain. However, ct scans also can miss gallstones that you may have. Download as powerpoint open in image viewer figure 4.
Pet Friendly Hotel Jakarta . Penyakit dari kelinci yang dapat ditularkan pada manusia Hotel pet friendly yogyakarta selanjutnya bernama griya limasan gunung kidul. Pet Friendly hotels near Paris Avenue des ChampsElysées from www.booked.net Classic pets allowed for a fee ; Terdiri dari dua lantai, lima coffee jakarta menawarkan kenyamanan yang maksimal. Apartment pet friendly jakarta selanjutnya adalah di wilayah kemang.
Acme Silent Dog Whistle Instructions . The back of the whistle will sit on the back of the tongue. For example, one long burst can mean sit or hup, while a series of short, staccato bursts might mean come in to me, or to turn when the dog is quartering in front of you. Acme Silent Dog Whistle (Model 535) Country Interests from countryinterests.co.uk 3 long and 1/4 diameter; What better way to train your dog than with the acme 535 silent dog whistle. You can use the automatic bowl/feeder to give a treat.the dog will eventually learn the cue.
Cat Gopro Funny . Any owner wants to see what the cat is doing when dad is not in. Make sure you subscribe to my youtube channel (link in profile) and follow us at catmantoo on facebook. 😹📸 selfiecat gopro 👉besomedoggy rottweiler Funny from br.pinterest.com Of course, we start with one of the big guys…. One such hero is mélissa delteil, who went through these stills from jurassic park and replaced all the dinosaurs with ferrets. The gopro filmed the parrot picking at the camera, holding pieces of plastic in its beak, until the bird abandons the camera.
Comments
Post a Comment